矯正治療の各症例の
費用について
トータルフィーシステム
(総額固定料金制)
矯正相談
無料
無料
調整料・保定管理料
無料
無料
追加負担金
なし
なし
表参道AK歯科・矯正歯科では、矯正治療の費用について、治療開始前に総額を提示する「トータルフィーシステム(総額固定料金制)」を採用しております。
保定装置(後戻り防止装置)の料金・保定管理料も含まれており、最初に提示した料金以外に費用がかかることはありませんので、安心して治療を受けていただけます。詳しくは無料相談を行っておりますので、お気軽にご相談ください。
※別途料金が発生するケースがあった際には、事前にお伝えいたします
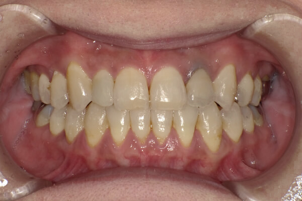
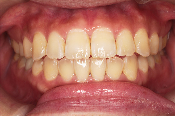
横顔を改善した症例
Case1
| 主訴 | 横顔、E-lineが気になる |
|---|---|
| 治療内容 | 上下顎左右側第一小臼歯抜歯を行い、 アンカースクリューを用いて裏側矯正 |
| 治療期間 | 2年8ヶ月 |
| 治療費 | ¥1,410,000 |
| 治療の リスク |
一時的な疼痛、違和感など 場合によっては後戻りが考えられます |
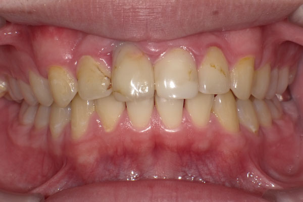
Case2
| 主訴 | 口ゴボ、前歯を下げたい |
|---|---|
| 治療内容 | 上下顎左右側第一小臼歯抜歯を行い、 アンカースクリューを用いて裏側矯正 |
| 治療期間 | 2年3ヶ月 |
| 治療費 | ¥1,410,000 |
| 治療の リスク |
一時的な疼痛、違和感など 場合によっては後戻りが考えられます |
Case3
| 主訴 | 横顔が気になる、口元を下げたい |
|---|---|
| 治療内容 | 上下顎左右側第一小臼歯抜歯を行い、 アンカースクリューを用いて裏側矯正 |
| 治療期間 | 3年 |
| 治療費 | ¥1,410,000 |
| 治療の リスク |
一時的な疼痛、違和感など 場合によっては後戻りが考えられます |
Case4
| 主訴 | 口ゴボ、E-lineが気になる |
|---|---|
| 治療内容 | 上下顎左右側第一小臼歯抜歯を行い、表側矯正 |
| 治療期間 | 1年8ヶ月 |
| 治療費 | ¥1,155,000 |
| 治療の リスク |
一時的な疼痛、違和感など 場合によっては後戻りが考えられます |
出っ歯の症例
Case1 [20代女性]
| 主訴 | 前歯を下げたい |
|---|---|
| 治療内容 | 上顎左右側第一小臼歯抜歯を行い裏側(舌側)矯正 |
| 治療期間 | 2年3ヶ月 |
| 治療費 | ¥1,507,000(税込) |
| 治療の リスク |
一時的な疼痛、違和感など 場合によっては後戻りが考えられます |
Case2 [20代女性]
| 主訴 | 前歯を下げたい |
|---|---|
| 治療内容 | 抜歯はせずディスキングを行い裏側(舌側)矯正 |
| 治療期間 | 1年10ヶ月 |
| 治療費 | ¥1,370,000(税込) |
| 治療の リスク |
一時的な疼痛、違和感など 場合によっては後戻りが考えられます |
Case3 [30代男性]
| 主訴 | 出っ歯が気になる |
|---|---|
| 治療内容 | マウスピース型矯正装置にて矯正治療 非抜歯 |
| 治療期間 | 7ヶ月 |
| 治療費 | ¥1,100,000(税込) |
| 治療の リスク |
一時的な疼痛、違和感など 場合によっては後戻りが考えられます |
受け口の症例
Case1 [30代女性]
| 主訴 | 前歯の反対咬合 |
|---|---|
| 治療内容 | 抜歯をせず拡大、ディスキングを行い裏側(舌側)矯正 |
| 治療期間 | 1年10ヶ月 |
| 治療費 | ¥1,485,000(税込) |
| 治療の リスク |
一時的な疼痛、違和感など 場合によっては後戻りが考えられます |
Case2 [50代女性]
| 主訴 | 反対咬合を治したい |
|---|---|
| 治療内容 | ディスキング、前歯の拡大を行い、 マウスピース型矯正装置にて治療 非抜歯 |
| 治療期間 | 1年10ヶ月 |
| 治療費 | ¥1,210,000(税込) |
| 治療の リスク | 一時的な疼痛、違和感など 場合によっては後戻りが考えられます |
Case3
| 主訴 | 開口を治したい |
|---|---|
| 治療内容 | マウスピース型矯正装置にて矯正治療 非抜歯 |
| 治療期間 | 1年 |
| 治療費 | ¥1,100,000(税込) |
| 治療の リスク | 一時的な疼痛、違和感など 場合によっては後戻りが考えられます |
すきっ歯の症例
Case1 [20代女性]
| 主訴 | すきっ歯を治したい |
|---|---|
| 治療内容 | 上下顎前歯部の裏側からの部分矯正 非抜歯 |
| 治療期間 | 1年 |
| 治療費 | ¥726,000(税込) |
| 治療の リスク |
一時的な疼痛、違和感など 場合によっては後戻りが考えられます |
Case2 [20代女性]
| 主訴 | すきっ歯 |
|---|---|
| 治療内容 | 抜歯はせず裏側(舌側)矯正 |
| 治療期間 | 1年10ヶ月 |
| 治療費 | ¥1,370,000(税込) |
| 治療の リスク | 一時的な疼痛、違和感など 場合によっては後戻りが考えられます |
Case3 [20代女性]
| 主訴 | 正中離開(すきっ歯) |
|---|---|
| 治療内容 | 上顎正中離開(すきっ歯)2本のダイレクトボンディング |
| 治療期間 | 1日(45分) |
| 治療費 | ¥90,000 |
| 治療の リスク | 一時的な痛み、脱離 |
Case4 [20代男性]
| 主訴 | すきっ歯 |
|---|---|
| 治療内容 | マウスピース型矯正装置にて矯正治療 非抜歯 |
| 治療期間 | 7ヶ月 |
| 治療費 | ¥1,100,000 |
| 治療の リスク |
一時的な疼痛、違和感など 場合によっては後戻りが考えられます |
乱杭歯(叢生)の症例
Case1 [20代女性]
| 主訴 | 歯並びの凸凹 |
|---|---|
| 治療内容 | 上顎左右側第一小臼歯抜歯を行い、 インプラントアンカーを併用しての裏側(舌側)矯正 |
| 治療期間 | 2年6ヶ月 |
| 治療費 | ¥1,754,500(税込) |
| 治療の リスク | 一時的な疼痛、違和感など 場合によっては後戻りが考えられます |
Case2 [20代女性]
| 主訴 | 歯並びの凸凹 |
|---|---|
| 治療内容 | 左右側上下顎第一小臼歯を計4本抜歯を行い裏側(舌側)矯正 |
| 治療期間 | 2年2ヶ月 |
| 治療費 | ¥1,573,000(税込) |
| 治療の リスク |
一時的な疼痛、違和感など 場合によっては後戻りが考えられます |
Case3
| 主訴 | 歯並びの凸凹 |
|---|---|
| 治療内容 | 抜歯をせず拡大、ディスキングを行い裏側(舌側)矯正 |
| 治療期間 | 1年6ヶ月 |
| 治療費 | ¥1,100,000(税込) |
| 治療の リスク |
一時的な疼痛、違和感など 場合によっては後戻りが考えられます |
Case4
| 主訴 | 歯並びの凸凹 |
|---|---|
| 治療内容 | 上顎左右側第一小臼歯抜歯を行い裏側(舌側)矯正 |
| 治療期間 | 2年4ヶ月 |
| 治療費 | ¥1,100,000(税込) |
| 治療の リスク |
一時的な疼痛、違和感など 場合によっては後戻りが考えられます |
Case5
| 主訴 | 歯並びの凸凹 |
|---|---|
| 治療内容 | 上顎左右側第一小臼歯抜歯を行い、 マウスピース型矯正装置にて矯正治療 |
| 治療期間 | 2年8ヶ月 |
| 治療費 | ¥880,000(税込) |
| 治療の リスク |
一時的な疼痛、違和感など 場合によっては後戻りが考えられます |
Case6
| 主訴 | 歯並びの凸凹 |
|---|---|
| 治療内容 | 上下顎左右側第一小臼歯抜歯を行い、 マウスピース型矯正装置にて矯正治療 |
| 治療期間 | 2年10ヶ月 |
| 治療費 | ¥1,100,000(税込) |
| 治療の リスク |
一時的な疼痛、違和感など 場合によっては後戻りが考えられます |
Case7
| 主訴 | 歯並びの凸凹 |
|---|---|
| 治療内容 | 上顎左右側第一小臼歯抜歯を行い、 マウスピース型矯正装置にて矯正治療 |
| 治療期間 | 2年10ヶ月 |
| 治療費 | ¥880,000(税込) |
| 治療の リスク |
一時的な疼痛、違和感など 場合によっては後戻りが考えられます |
Case8
| 主訴 | 歯並びの凸凹 |
|---|---|
| 治療内容 | ディスキングを行い、マウスピース型矯正装置にて矯正治療 非抜歯 |
| 治療期間 | 5ヶ月 |
| 治療費 | ¥605,000(税込) |
| 治療の リスク |
一時的な疼痛、違和感など 場合によっては後戻りが考えられます |
Case9
| 主訴 | 歯並びの凸凹 |
|---|---|
| 治療内容 | 上下顎左右側第一小臼歯抜歯を行い、 マウスピース型矯正装置にて矯正治療 |
| 治療期間 | 2年2ヶ月 |
| 治療費 | ¥1,000,000(税込) |
| 治療の リスク |
一時的な疼痛、違和感など 場合によっては後戻りが考えられます |
Case10 [20代女性]
| 主訴 | 歯並びの凸凹 |
|---|---|
| 治療内容 | 上顎左右側第一小臼歯、下顎右側中切歯の抜歯を行い、 裏側(舌側)矯正 |
| 治療期間 | 2年 |
| 治療費 | ¥1,430,000(税込) |
| 治療の リスク |
一時的な疼痛、違和感など 場合によっては後戻りが考えられます |
過蓋咬合の症例
Case1 [20代女性]
| 主訴 | 噛み合わせが深い |
|---|---|
| 治療内容 | 上顎左右側第一小臼歯、下顎右側中切歯の抜歯を行い、 裏側(舌側)矯正 |
| 治療期間 | 2年4ヶ月 |
| 治療費 | ¥1,430,000(税込) |
| 治療の リスク |
一時的な疼痛、違和感など 場合によっては後戻りが考えられます |

