- 親知らずを活用したい
- 今ある歯をできるだけ残したい
- できればインプラントはしたくない
歯を残す選択肢を諦めたくない
他院で抜歯宣告を受けた方へ
他院ではできないと言われた難症例や、歯根破折や割れた歯を本当に残すことができないのか、残す方法を諦められない方、歯がボロボロで悩んでいる方から1本のインプラント治療まで様々な症例に対応が可能です。
お悩み、ご不安をお持ちの方は、まず無料カウンセリングへお越しください。あなたのお悩みご不安をぶつけてください。
今ある「歯を残す」治療は
こんな方にオススメ
他院で抜歯・インプラントと
宣告されたが、
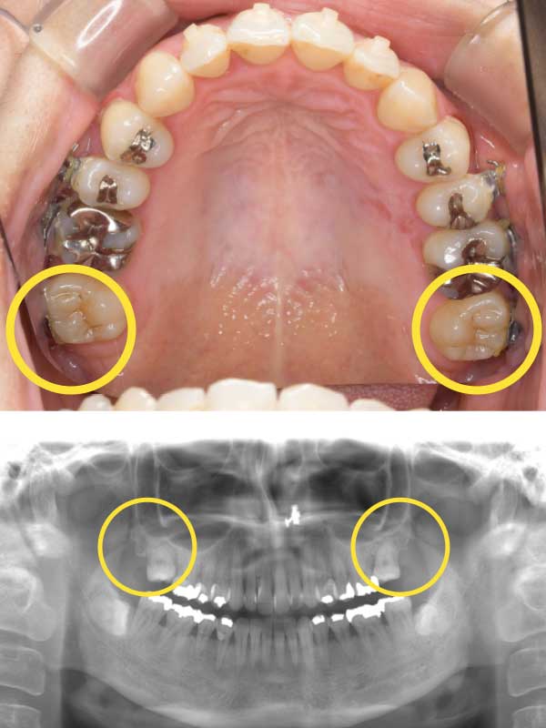
親知らずを活用し
奥歯を再生した症例
| 主訴 | 奥歯をどうにかして残したい。 他院で抜歯と言われ、インプラントが必要と診断されたが、諦めきれない。 |
|---|---|
| 治療内容 | 親知らずを活用した矯正治療 |
| 治療期間 | 準備中 |
| 治療費 | 準備中 |
| 治療の リスク | 矯正で動かす場合、数ヶ月〜数年の時間がかかる。治療中の装置により汚れが溜まりやすく、虫歯や歯周病のリスクが高まる。 |
諦めないでください!
今ある「親知らず」で奥歯を再生できる可能性があります!
当院では、抜かずに残しておいた親知らずを「矯正」で移動させ、奥歯として蘇らせます。
他院で「抜歯してインプラント」と言われた欠損部位に対し、当院が提案するのは、親知らずを矯正装置でゆっくりと手前に引き寄せ、空いたスペースを埋める治療法です。
本来は抜歯対象になりやすい親知らずを「天然のインプラント」として活用する、非常に身体に優しいアプローチです。
矯正治療で親知らずを活用する
3つのメリット
- 外科手術が不要、または最小限で済む
一度抜いて植え替える「移植」に比べ、歯を根っこごとゆっくり動かすため、体への負担が少なく、術後の痛みや腫れのリスクを大幅に抑えられます。 - 自分の「歯根膜」がそのまま生きる
矯正移動は、歯と一緒に周囲の骨や歯ぐきも一緒に付いてくる性質があります。そのため、歯根破折で失われた周囲の組織までもが、親知らずの移動とともに再生される効果が期待できます。 - 一生涯の健康を支える「自分の歯」
人工物であるインプラントには、時間の経過とともに周囲が炎症を起こす(インプラント周囲炎)リスクがありますが、自分の歯であればケア次第で一生涯使い続けることが可能です。
【インプラント回避】
失った奥歯を
矯正治療のみで「親知らず」を
移動させ再生した症例
| 主訴 | 奥歯にインプラントが必要と言われたが、どうしても避けたい |
|---|---|
| 治療内容 | 親知らずを活用した矯正治療 |
| 治療期間 | 準備中 |
| 治療費 | 準備中 |
| 治療の リスク | 矯正で動かす場合、数ヶ月〜数年の時間がかかる。治療中の装置により汚れが溜まりやすく、虫歯や歯周病のリスクが高まる。 |
他院で「インプラントが必要」と言われたが、どうしても避けたい
こちらの患者様は、すでに奥歯を抜歯しており、「噛む機能を回復するにはインプラントしかない」と宣告されていました。
しかし、「手術が怖い」「体に人工物を入れることに抵抗がある」という強い思いから、インプラント以外の方法を模索して当院へお越しになりました。
実は、親知らずは、矯正治療で移動させれば、欠損した奥歯として再利用できます!
通常、歯を失った場所にはインプラントやブリッジを検討しますが、当院では「親知らずを矯正装置で奥に移動させ、抜けた奥歯のスペースを埋める」という治療を行いました。
不要だと思われがちな親知らずを、失った奥歯の「代役」として再配置する、非常に合理的で身体に優しい方法です。
今ある「親知らず」を残す・活かす治療が選ばれる理由
- インプラントではなく「親知らず」という選択
ご自身の天然歯をそのまま移動させるため、人工物を埋め込む手術の必要がありません。100%自分の歯で、違和感のない自然な噛み心地を取り戻せます。 - 痩せた骨まで「自然に再生」
歯を抜いて時間が経つと骨は痩せてしまいますが、矯正で歯をゆっくり動かすと、周囲の骨や歯ぐきも一緒に引き寄せられて再生されます。これはインプラントにはない、天然歯だけの力です。 - 一生涯の健康リスクを抑える
自分の歯はインプラントに比べて感染症に強く、適切なケアで一生使い続けることが可能です。親知らずを「活用」することで、将来のメンテナンス負担も軽減されます。
「インプラントしかない」と言われても諦めないで
「奥歯がないから、入れるのはインプラント」という常識は、親知らずが残っている方には当てはまらないかもしれません。
親知らずを移動させて、元の奥歯と全く同じように機能させる。今ある「親知らず」を活用する素晴らしい選択肢です。
まずはお気軽にご相談ください
『いきなり治療に入るのは怖い』『他院の話も聞きたいからまず相談だけ』など、まずはあなたのお悩みや不安なことをお聞かせください。
表参道AK歯科・矯正歯科では無料カウンセリングを実施しております。
LINEでのお問い合わせ
LINEで気軽に現在の状態や治療方法をご相談できます。ただし、お送りいただいたお写真だけでの判断となりますので、詳しく知りたい方は無料カウンセリングにお越しください。
他院が信用できない・
断られた方は
一度当院へご相談ください
完全個室でプライバシーに
守られた空間で安心
当院ではセカンドオピニオンの相談を行っています。
セカンドオピニオンの相談の際に必要なものは、今かかっている歯医者さんからの紹介状とレントゲンなどの検査結果です。
もし、紹介状やデータがなくても、診る事は可能ですが、本来のセカンドオピニオンとは少し意味が異なってしまいますし、
今までの治療内容や経過、症状や状態などは通院していた歯医者さんでないと分かりません。
そのため、かかりつけの歯医者さんで行っている、もしくは行おうとしている治療が「患者さんにとって最善な治療なのか」という意味では、はっきりとはわからない場合がありますので、かかりつけの歯医者さんにきちんと伝えて、紹介状などを用意してもらう事をおすすめ致します。
| 治療相談 | 無料 |
|---|---|
| セカンドオピニオンの方 | ¥11,000 (税込) |
ご予約はこちら
当院の
今ある「歯を残す」治療の特徴
1. 今ある「歯を残す」治療
患者様の歯をできるだけ長く保存し、できるだけご自分の歯で噛んで頂きたいという治療方針のもと治療を行います。歯を残すために歯周病治療をはじめ、患者様にとって最も良い治療法を幅広く選択できる治療体制を整えています。
2. 審美性と機能性を獲得し
長期的な安定を目指す
見た目も良く、出来るだけ長く自分の歯を使ってもらう為に、口腔内を含め顔のバランスや隣在歯、対合歯、歯列弓、一口腔単位で見た目も良くし長期的な安定を得られるようトータル的な方法で治療を行います。
治療後は虫歯や歯周病等などの発生率が下がり、長期的に見れば歯科医院に通う回数が少なくなります。
お口の中の状況によっては時間はかかってしまいますが、治療後は原因を根本から解決した状態を維持するよう努めれば長期的な安定を得られます。

3. 充実の設備と豊富な
検査項目
当院ではデジタルレントゲン、口腔内デジタル写真を用いて、患者様のお口の中全体の現状や治療方法を納得のいくまでご説明させていただきます。
診療室はプライバシーを重視したつくりになっており、患者様と話をしやすい環境に配慮しております。
歯科治療に大切なのは、患者様自身の歯を最大限保存することです。マイクロスコープや拡大鏡を使用する事により、肉眼では確認しきれない、微細な部分まで診ることが可能になります。
その結果、今まで以上に精度の高い治療が期待でき、歯の保存につながります。根管治療のみならず、マイクロスコープや拡大鏡は精度の高い処置が可能となります。小さな、細かい仕事をより正確に行うためには必要です。
今ある「歯を残す」治療の流れ
-
- 無料カウンセリング
- 問診票記入後、口腔内の写真、お顔の写真を数枚ずつ撮影して問診票と写真を見ながらカウンセリングします。(お写真が苦手な方はまずはお話しのみ伺う事も可能
です。)
患者様が来院された背景、ご要望、ご不安など、気持ちの部分をはじめ、生活習慣など今後の治療に必要なお話を聴かせていただきます。これまで他医院への通院で不安だったこと、不満だったこと、何でも遠慮なくお話下さい。
-
- 精密検査
- 1.レントゲン撮影
2.口腔内検査(虫歯のチェック、歯周組織検査)
3.口腔内の模型作成
※カウンセリング時、口腔内の写真、お顔の写真を撮影していなかった場合、撮影します。
-
- 診断
- 精密検査の結果と治療方針を説明いたします。
-
- 治療開始・メインテナンス
- 治療をスタート致します。
その後は定期的にメンテナンスを行います。
総合歯科治療を
検討されている方へ
-60分無料相談受付中-
『私はもう〇〇歳だから歯の事は
どうでも良い』
『この歳になって歯の形、色や歯並びを気にするのはどうなんだろう』
『奥歯1本くらいなくても構わない』
『痛みや腫れがないから
放っておいた』
など耳にする事があります。
お口の健康はもちろん見た目に年齢は関係ありませんし、痛みはなくても虫歯や歯周病や噛み合わせの悪化は進行します!
治療の前にはしっかりとカウンセリングを行い患者様が来院された背景、ご要望、ご不安など、気持ちの部分をはじめ、生活習慣など今後の治療に必要なお話を聴かせていただきます。
これまで他医院への通院で不安だったこと、不満だったこと、何でも遠慮なくお話し下さい。
| 治療相談 | 無料 |
|---|---|
| セカンドオピニオンの方 | ¥11,000 (税込) |
ご予約はこちら



