開咬は歯性と骨格性のものに分けられます。歯性の開咬の原因は、前歯の萌出方向の異常や、弄舌癖、吸指癖などの口腔習癖があげられ、骨格性の開咬は遺伝などの原因が考えられます。
開咬について
なぜ開咬に
なるのでしょうか?

開咬を矯正する際の
矯正方法について

口腔習癖による開咬に対しては習癖除去のため、弄舌癖の症例にはタングクリブやタングスパイク、母指吸引癖の症例には指サックなど習癖除去装置の使用や口腔筋機能療法、あるいは心理的手段などを用いて原因を除去します。
骨格性の開咬に対する治療には顎整形力を適用することが必要で、ハイプルチンキャップを用い、下顎前方部(オトガイ部)を上方に牽引します。しかし、重度の骨格性の異常がある症例では、あまり大きな治療効果は期待できません。
成人における開咬の治療は、顎骨はすでに成長を終えているという点で、乳歯列期や混合歯列期と異なります。開咬の骨格性要因としては、下顎下縁平面角や下顎角の開大、および後下方へ回転した下顎骨形態、口蓋前方部が上方に位置した上顎骨形態などがあります。
また、歯槽性要因としては、上下顎前歯の低位や臼歯間の高位などがあります。それらの要因の分析には、神山らの開咬分析やODI(overbite depth index)などが用いられます。骨格性要因が大きい場合には外科的矯正治療を適用することもあります。
これに対して、歯槽性の要因が認められる場合には、臼歯の圧下や前歯の挺出、さらに、機能性要因として、舌突出癖、巨舌、低い口輪筋力などによる口唇閉鎖不全などが認められる場合には、治療中に習癖除去装置や口腔筋機能療法(MFT)などを併用したり、治療後にも再発を防ぐためにこれらを保定期以降も継続することがあります。
なお、再発は、しばしば前歯の圧下や白歯の挺出などによって起こるので、保定に際してはこのような問題に注意する必要があります。
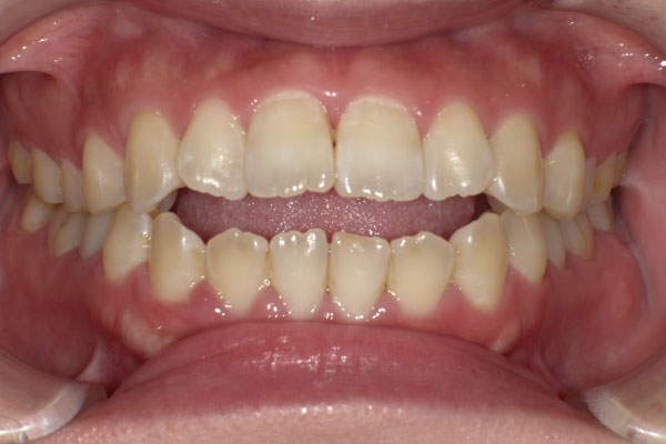
開咬の症例
Case1 [30代女性]
■マウスピース矯正


主訴 | 開咬 |
---|---|
治療期間 | 1年1ヶ月 |
治療費 | ¥1,100,000(税込) |
治療の リスク | 一時的な疼痛、違和感など |